
Microscope Slide Scanning Service
Digital Pathology | Slide Digitization:
A Smarter Way to Handle Your Slides


FREE COLLECT & RETURN DELIVERY
FREE DATA STORAGE USB / HARD DISK
FREE PACKAGING / TRANSPORT KIT
HASSLE-FREE Slide Scanning Service
eSlides is a leading provider of microscope slide scanning services in Malaysia, specializing in transforming traditional glass slides into high-resolution digital images. This digital pathology approach offers a smarter and more efficient way to handle your slides, catering to various needs such as lectures, self-learning, and research.
Free Collect & Return Delivery: We offer complimentary collection and return of your slides, ensuring a hassle-free experience.
Free Data Storage (USB/Hard Disk): Your digitized slides are provided on a USB or hard disk at no extra cost, facilitating easy access and storage.
Free Packaging/Transport Kit: To ensure the safety of your slides during transit, we provide secure packaging and transport kits free of charge.



TRANSFORM your valuable slides into
High-Resolution Digital Images
Lectures
Self-Learning
Research
Education Purposes
Share Instantly
Conference event
Collaborative & virtual discussions
Preserve Your Records
Long-term storage
No more slide fading
No more slide deterioration
Sample Management
Minimize sample consumption for rare or limited samples
Reducing the need for excessive sampling
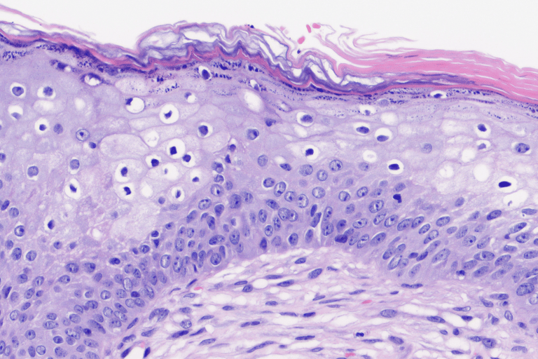
Sample Images


Image of skin specimen under 40x magnification
View more samples
(click button below)
Other stains
Hematoxylin and Eosin stain
QC High-Quality Images
40x Magnification bright-field with color adjustment & screenshot at high DPI.
Easy-to-Use Tools
Image annotation, marking, and measure tools. Data can be export to excel (.xls).
Image Comparison
View & mark multiple images synchronously (nine images at once), IHC, special stain, H&E.
Cells Counter
Built-in counter which useful for multiple observations to track, review, or compare.
Free Viewer Software (Unlimited License)
Complimentary with our slide scanning service









